7
Search
167
🔵 Ja podeu llegir el nou FerSalut número 133
📌 Parlem de la glàndula #tiroide, el poder terapèutic dels animals de companyia, el programa #SalutiEscola i coneixem la tasca de la #HigienistaDental a l’AtencióPrimària
✍️ Amb l’editorial d@e @MSerrarol@s @EAPVIC #CSIR
👇🏻👇🏻👇🏻
Disponible el nou número de la @revistafersalut amb continguts en #salut elaborats per professionals experts dels nostres centres #EBA #AtencióPrimària
👉Informació rigorosa per promoure la salut, prevenir la malaltia i educar en salut ❤️
Revista onlineonline.fliphtml5.com/wfjsa/ferSalut…ler
1
1
71
Prevenzione della #tiroide, a #bellona c'è lo #screening gratuito per la Festa delle donne ilmattino.it/caserta/preven…
Prevenzione della tiroide, a Bellona c'è lo screening gratuito per la Festa delle donne
Prevenzione della tiroide. A Bellona c’è. Il 5 marzo screening gratuito organizzato dall’Amministrazione comunale rappresentata da Giovanni Sarcinella in occasione...
From ilmattino.it 2
488
🔎 Ecco 10 sintomi che possono indicare possibili problemi alla #tiroide 👇viversano.net/benessere/salu…VD
Come riconoscere problemi alla tiroide: 10 sintomi caratteristici
La tiroide è una ghiandola responsabile del buon funzionamento di molti organi. Scopri i sintomi di possibili problemi alla tiroide.
From viversano.net 10
Tiroide, da Napoli l’allarme degli esperti: ne soffre il 10% degli italiani
#tiroide #sanitàpubblica #salute #chirurgiatiroidea #endocrinologia #Napoli #ricercamedica #medicina
sudnotizie.com/tiroide-da-nap…
14
🔬HIPOTIROIDISMO🩸 | 🤔¿Qué es y que lo causa?💊 #salud #prevención #tiroideyoutube.com/shorts/UfJZ20W…2rgM @vía @YouTube
12
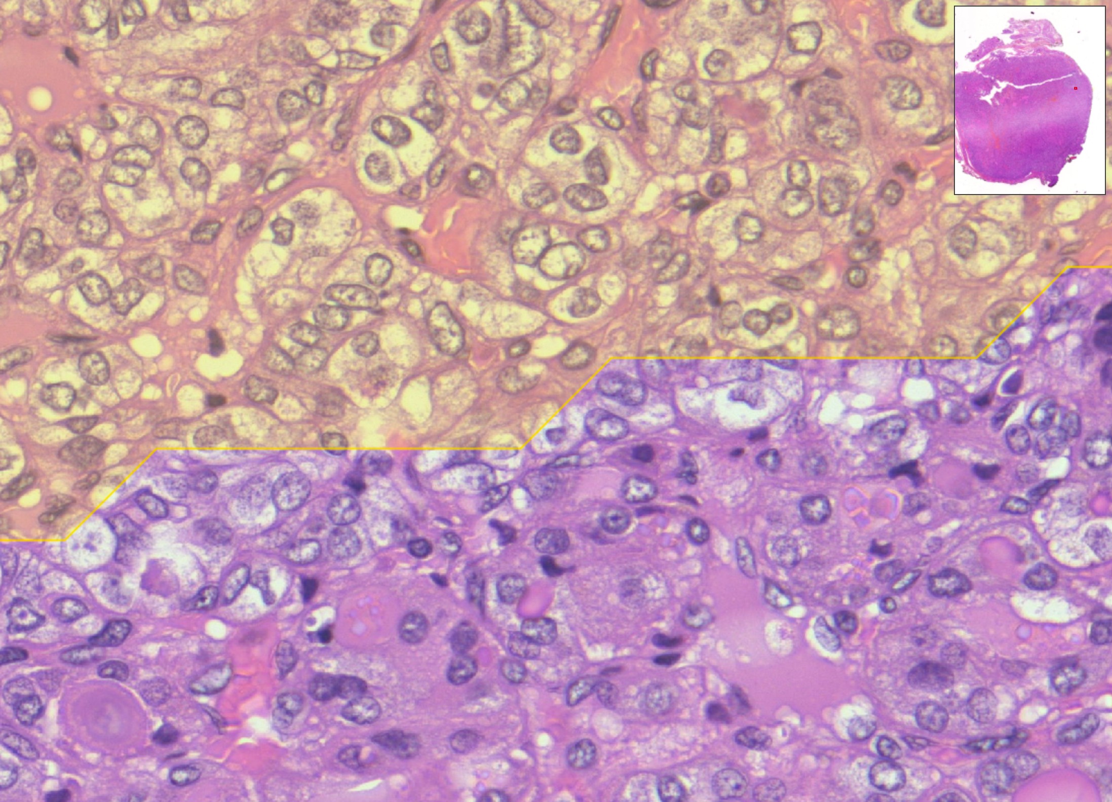
#Tiroide: #IntelligenzaArtificiale segnala le aree da valutare emulando il processo usato in patologia, al personale sanitario spetta comunque la diagnosi. Lo studio, guidato dall’ @CaFoscari e Milano-Bicocca, è stato pubblicato su Endocrine Pathology
🔗unimib.it/comunicati/dop…0b

1
5
322
🦋 La #tiroide è piccola ma fondamentale!
Regola energia, metabolismo, umore e fertilità. 💙
Nelle donne, controlli periodici aiutano a prevenire disturbi come #ipotiroidismo, #ipertiroidismo e #tiroiditi autoimmuniaslnapoli3sud.itIX
#Prevenzione #ASLNapoli3SuTq




8
🧐➡️ Les malalties tiroidals tenen un impacte important en la salut sexual i reproductiva de les dones.
Des de@mutuapenedes t'expliquem què suposa un desequilibri a la #tiroide. ⬇️mutuapenedes.com/malaltia-tiroi…a
#MútuaPenedès #CentremèdicMútuaPenedès #CentreMèdici

13
A Villa Carcina arriva il "Tour della Prevenzione ANT"
Un incontro informativo Giovedì 13, poi da Venerdì 21 a Domenica 23 si terranno le visite.
#tiroide #ant #villacarcina #tumori #prevenzioneANT


15
Nuovo ambulatorio per i noduli tiroidei indeterminati: biologia molecolare e diagnosi precoce al centro Giglio madoniefocus24.altervista.org/nuovo-ambulato… #Cefalù #Tiroide #ChirurgiaEndocrina #NoduliTiroidei #BiologiaMolecolare #DiagnosiPrecoce #StefaniaMarchisotta #LucaSessa #SanitàSiciliana

8
Cefalù. Al Giglio un nuovo ambulatorio di endocrinologia Servizio di Roberta Giuffrè per Teleone youtu.be/kiA9eV7TTPI?si… via @YouTube #tiroide #endocrinologia #prevenzione #biologiamolecolare
23