Greg Charville @Greg_Charville · 1d Please join me and wonderful colleagues this July at a great venue on the beautiful Big Island of Hawaii! #BSTpath #GIpath #ENTpath #Gynpath 1 2 9 669
Nathan McGrath @Nate_path · 2d #ENTPath #PathX Huda Haq, MD @HudaHaq1 · 3d Standing next to our Head and Neck faculty member, Dr. Michel Kmeid’s poster. Another great representation by @UABPathology at @TheUSCAP #Uscap2026 7 502
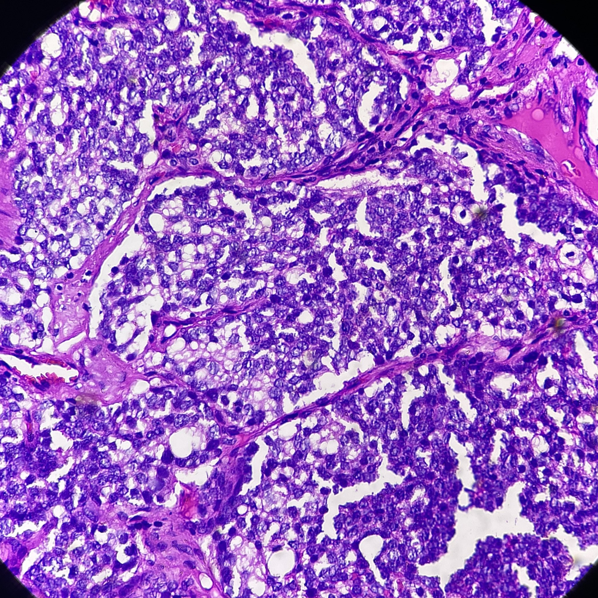
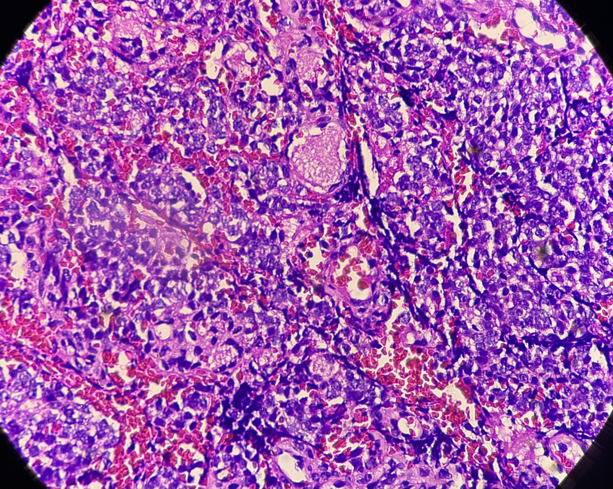
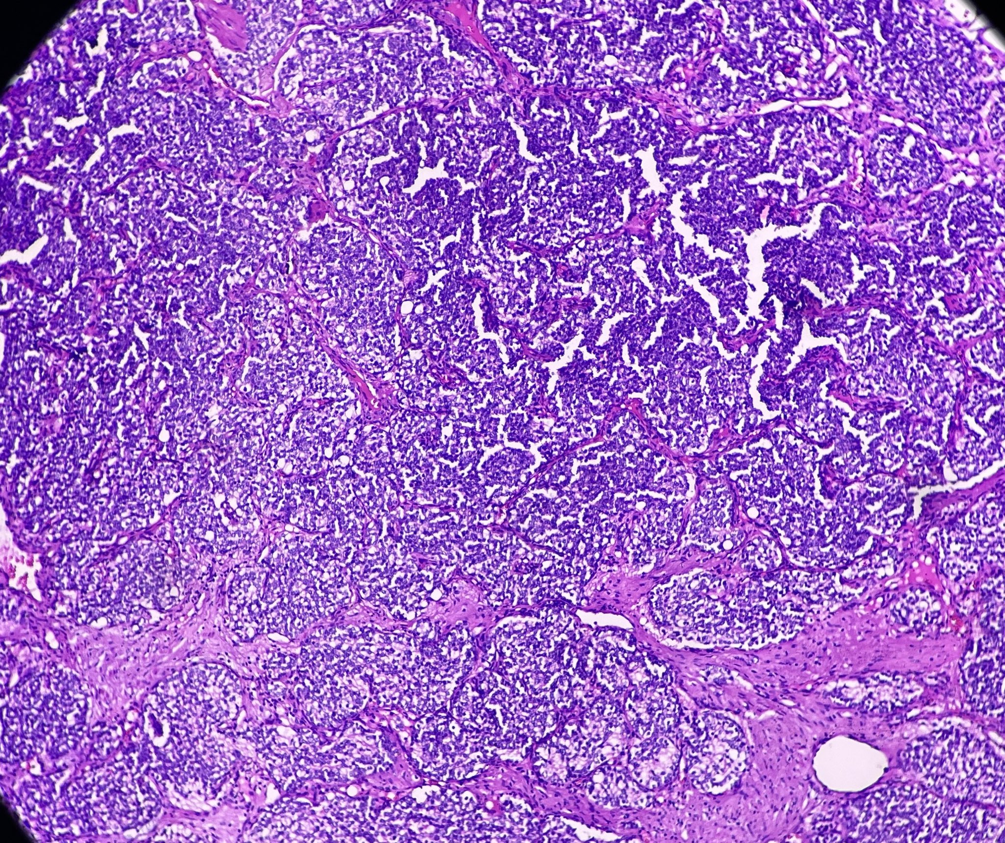
Suu @suulynnz · 5d 34 yr old, ethmoidal sinus tumour Endoscopy finding- highly vascular friable tumour Your opinion plz #pathX #pathtwitter #ENTPath #H&N 4 4 29 2.1K
Jen-Fan Hang, MD, FIAC @jfhang · Mar 16 I am very honored to be invited by @NASHNPath to give a talk on diagnostic pitfalls in #Thyroid #Pathology at @TheUSCAP 2026 next week. The talk is accompanied by a proceeding article that has just been published in @HeadNeckPathol.��#ENTPath #EndoPathreurl.cc/K2AQ1q9F 3 20 1K
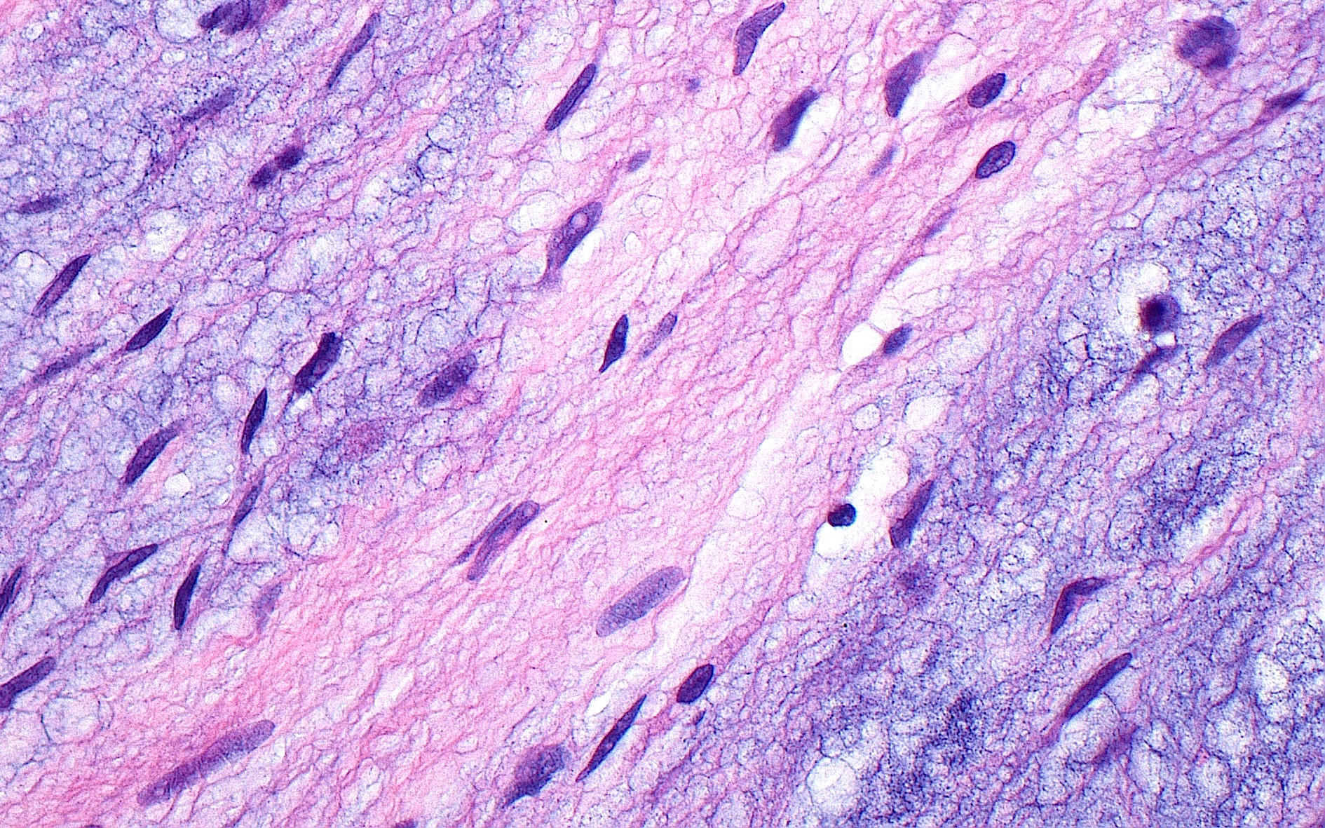
Ziad El-Zaatari @ziad_zaatari · Mar 8 🔬📸🎨 "Myxoid" ~ Myxoid stroma from a benign vocal cord polyp ~ #Pathology #Histology #ENTpath #PathAYIG 4 33 984