33
Search
#EM #AlertaElectricidad Modifican directiva de reclamos sobre servicios públicos de electricidad y gas natural ► tinyurl.com/5az8nh8d
13
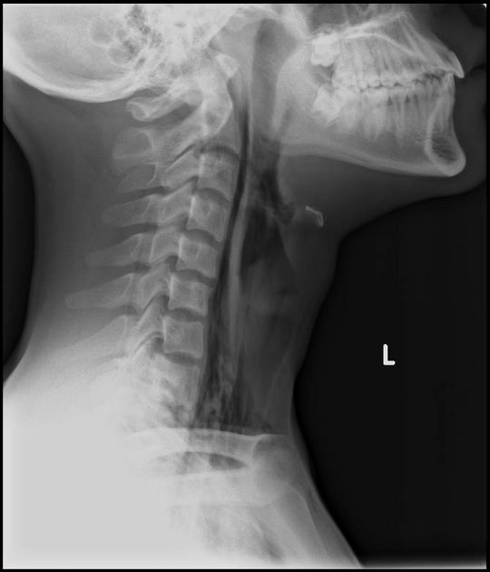
Patient c/o unable to speak and had a sore throat. Was swallowing a pill and felt that it was stuck in his throat.
X-ray showing :
Extensive pre vertebral soft tissue gas with extension into bony spinal canal.
These findings are highly suggesting : oesophageal perforation #EM

245
@elonmusk @sudeepkhatri We love America’s new (GE’s) Jack Welch! Long live the King! #EM!
Oh and by the way, We want Natural Gas Cars, added to the mix!
1
26
2
91
🗣️ Nagelsmann zum Spiel heute! 🇩��
#EM2024 #Deutschland #EM #EM24 #Tipico #GERHUNtipico.de/wett-tipps/spo…uJC
1
407
🚨 Urgent: Gas Leak Prompts Downtown Winnipeg Hotel Evacuation! 🚨 Winnipeg fire officials sprang into action, ensuring the safety of 40 individuals evacuated from a Fort Street hotel. Read the full story hereift.tt/f2T3ncJBf ✨ #SafetyFirst #Emift.tt/f2T3ncJBf
62
🩺 Com afecta la "llum de gas" mèdica a les dones amb EM? Un estudi de Health Communication afirma que les dones amb malalties cròniques com l'EM pateixen la incredulitat dels professionals sanitaris al rebre atenció mèdica.
�fem.es/com-afecta-la-…HD
#EsclerosiMúltiple #EM
146
🩺 ¿Cómo afecta la "luz de gas" médica a las mujeres con EM? Un estudio de Health Communication afirma que las mujeres con enfermedades crónicas sufren la incredulidad de los profesionales de la salud al recibir atención médica.
�fem.es/es/como-afecta…va
#EsclerosisMúltiple #EM
2
4
228