Home Explore Settings

Search

Chandini
Chandini @thepathdoc · 2d
Poster presentation @TheUSCAP 2026!! It was an incredible experience connecting with many residents and attendings 😇 #pathresident #pathology #uscap2026 #pgy2U
2
53
Hafsa Nebbache, MD
Hafsa Nebbache, MD @NebbacheHafsa · 6d
Please join me in congratulating the two Leadership Development Awardees, Dr. Lynn Guo, MD, MBA, and Dr. Rachel Pitt, MD, from @PathAlbanyMed recognized by @CAPFndn 👏 at the@Pathologists #SPRF26 Congratulations once again, so well deserved!✨ #Pathology #PathResident #USCAPG
1
4
34
1.5K
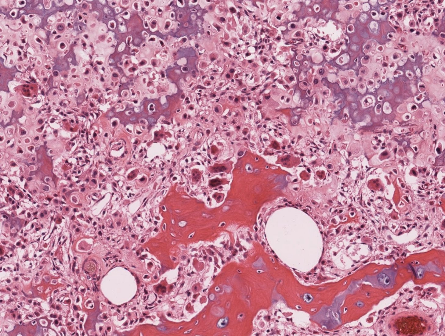
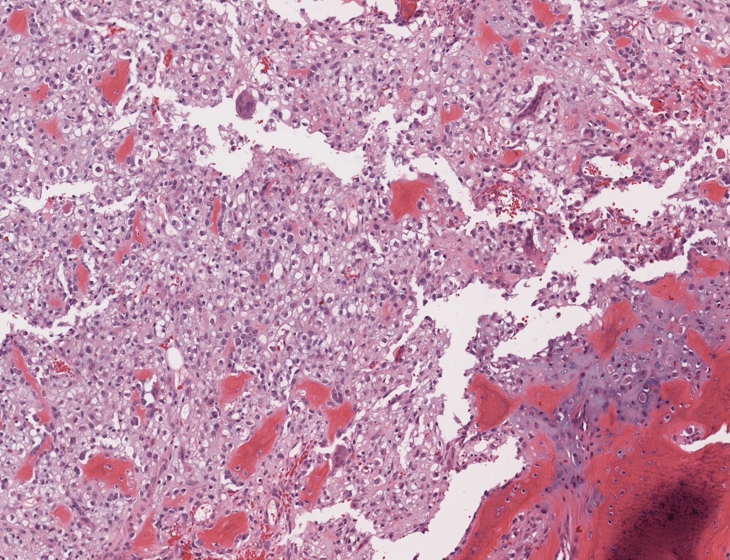
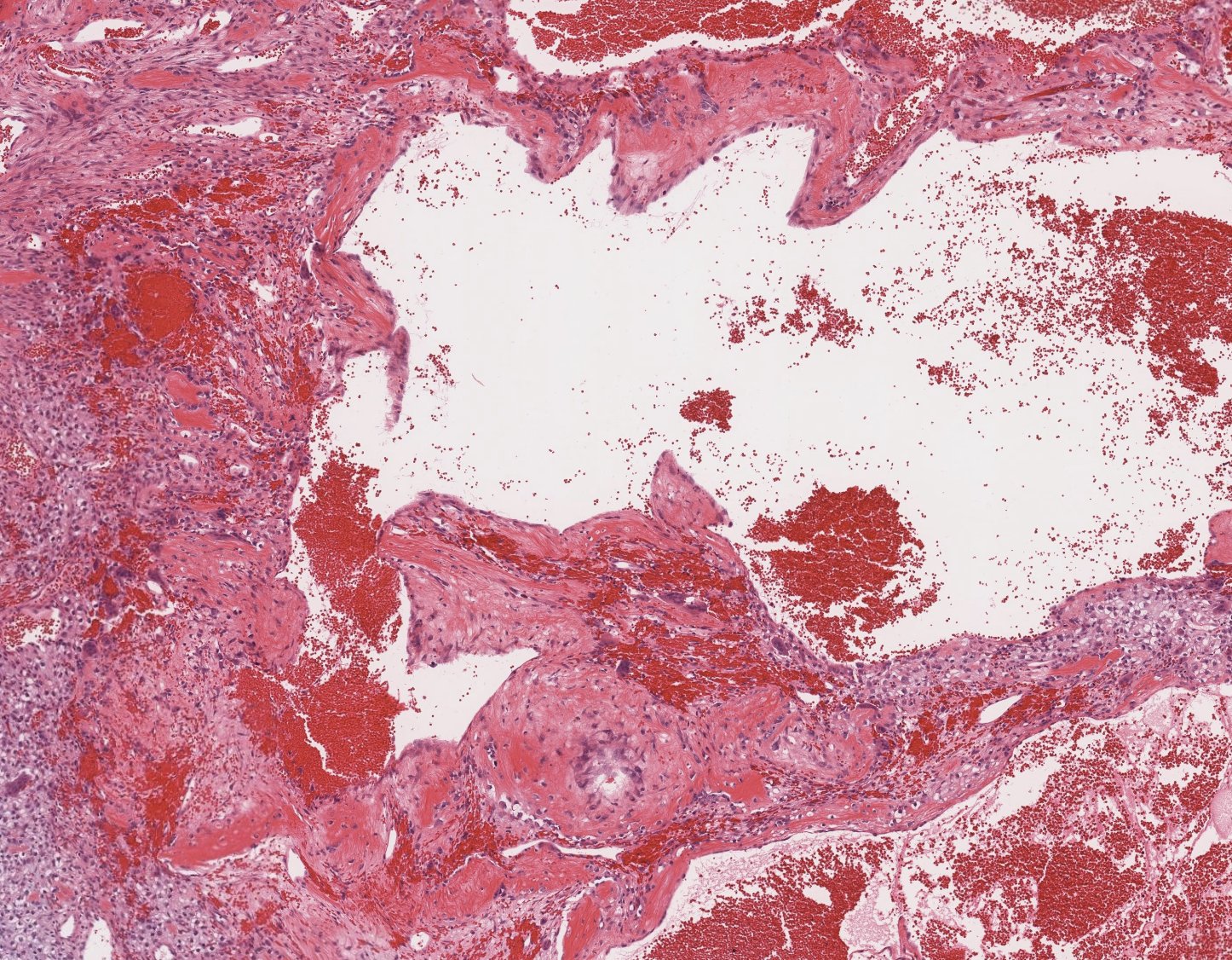
AnatPathGeek
AnatPathGeek @Notissuenoissue · Mar 16
40F, femoral lytic lesion. Diagnosis? #pathtwitter #pathresident #pathology
1
34
HFH Pathology Residency
HFH Pathology Residency @HFHPathRes · Mar 14
Residents enjoying some downtime together—good food, great conversation, and time to connect beyond the workplace.🍽️✨ #pathresidentn
1
11
489
Hafsa Nebbache, MD
Hafsa Nebbache, MD @NebbacheHafsa · Feb 7
Time to change my luggage tag 😍
The real challenge now? Finding yellow outfits for #CAP26 in Las Vegas 💛
Back to Vegas next year! woot woot!! 🎉🎰 #CAP26 #PathResident #Pathology #@CAP @AranzaPin@edo @TheBatoo@lMD @Pathologi@sts @CAPFndn #PathTwitter #PathX #WomenInMedicine #orlandofloida #Vegas @WynnVegasHotel
2
1
13
442
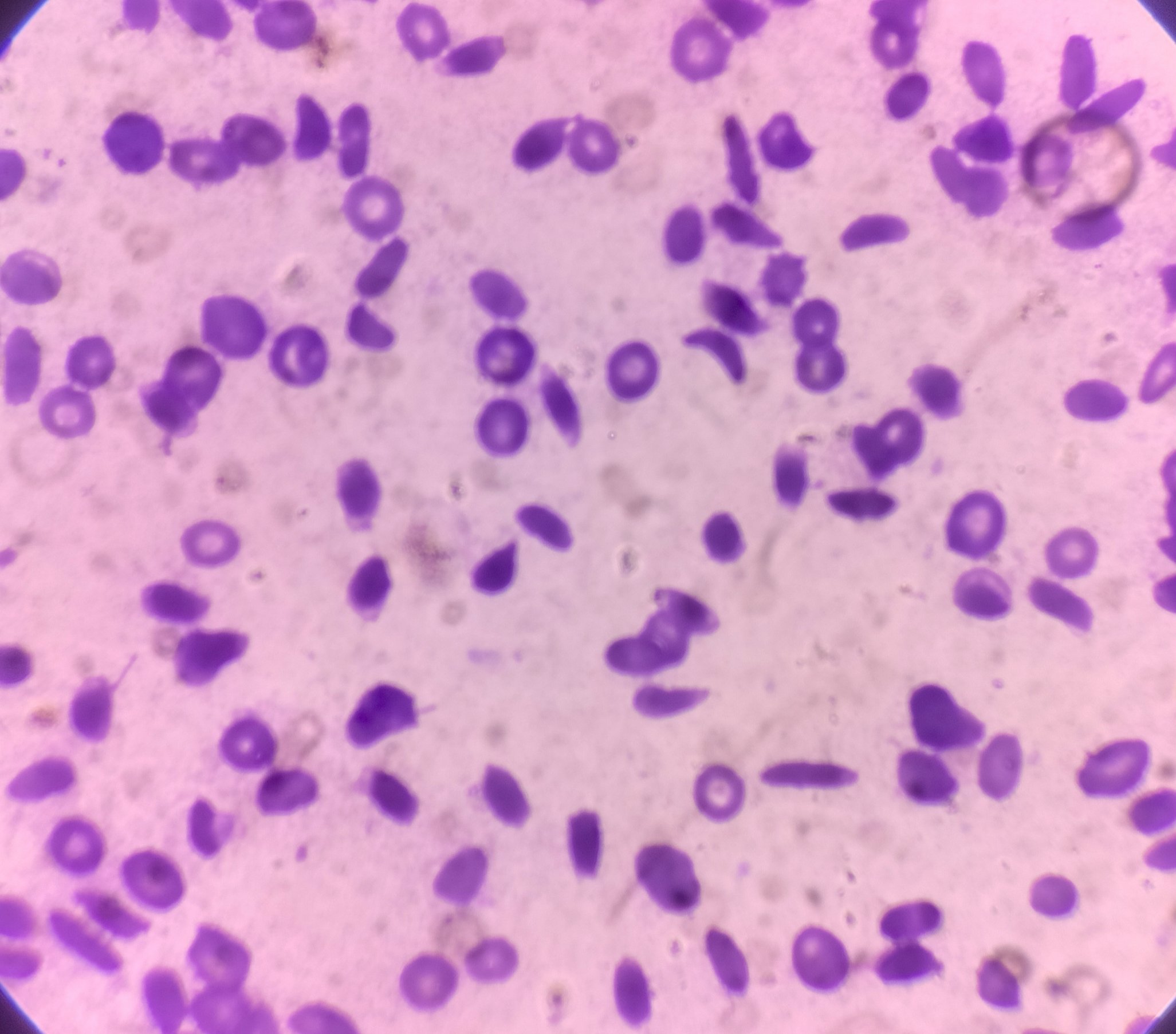
Daniel
Daniel @DrDanok · Jan 12
Isolated anemia #HemePath #Pathresident #PathX
2
1
3
325
Load more

Trends

1 · Trending
Uber Eats
2 · Trending
#ENGENES_MADE_ENHYPEN_7
Trending worldwide
3 · Trending
No Kings
Politics · Trending
4 · Trending
#ด้วงกับเธอEP9
Only on X · Trending
5 · Trending
DUANG WITH YOU EP9
Only on X · Trending
Horizon Web